Get a Brighter, Confident Smile.
Looking for teeth whitening that actually works? We provide advanced teeth whitening designed to deliver fast, safe, and visible results.
Our clinic offers painless teeth whitening dental solutions for people searching for dental teeth whitening near me or affordable teeth whitening in Gurgaon.
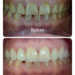
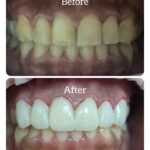
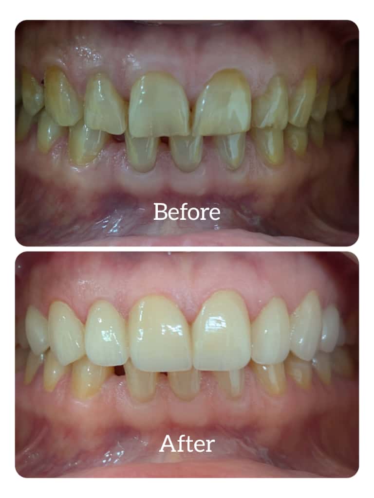
Whether you want a complete smile makeover or quick smile whitening, our experts ensure real teeth whitening results using modern techniques.
Yes, at Inspire Dental & Esthetic Care, you can achieve a visibly whiter smile in just 1 visit (30 minutes). Fast, painless LASER teeth whitening focused on advanced dental esthetic care – safe, effective and affordable.
Dr. Sohini is an excellent dentist. I visited her a week ago with severe pain in my gums. She did laser curettage and the pain flew away like magic. Her expertise in the field of dentistry is commendable. The clinic is equipped with all the latest technology. I highly recommend her.
At Inspire Dental and esthetic Care, I experienced outstanding care thanks to Dr. Sohini sancheti 's advanced skill set. She patiently explained every aspect of the treatment, reflecting years of practice. The warm and efficient atmosphere at the clinic made me feel at home. I left with a strong impression of her capabilities as a good doctor.

The dentist evaluates the patient’s oral health to determine the best Teeth Whitening Treatment according to their present dental condition.

A professional bleaching gel is applied for teeth whitening treatment.

The dentist ensures even whitening and provides aftercare instructions for prolonged results.

Plaque and tartar are removed before applying the whitening agent for optimal results.

In laser teeth whitening, we use special light technology to accelerate best teeth whitening process.
We deliver advanced teeth whitening that works, ensuring noticeable improvement on your first teeth whitening appointment.
Our clinic uses modern systems and professional teeth whitening methods that are safe, fast, and effective.
Our professionals specialize in smile teeth whitening, offering personalized solutions for laser teeth whitening results based on your needs.
Dr. Sohini Sancheti is a Gold Medalist Post Graduate in Periodontology & Oral Implantology, known for delivering safe, effective teeth whitening for anyone looking for teeth whitening in Gurgaon.
She completed her BDS from Manipal University and her Masters from Bapuji Dental College & Hospital. She holds a Fellowship in Dental Implants from ICOI (USA) and an Associate Fellowship in Laser Dentistry from WCLI (USA), making her highly skilled in laser teeth whitening and advanced dental techniques.
With expertise in in-clinic teeth whitening and cosmetic smile enhancement, she ensures a comfortable and results-oriented experience for every patient.
Dr. Sohini is also fluent in multiple languages including English, Hindi, Marathi, and German, allowing her to communicate easily with a diverse range of patients, including international visitors.